Accueil > Chirurgie genou > La PUC (Prothèse Uni Compartimentaire)
Retour

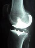
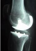
La PUC (Prothèse Uni Compartimentaire)

Son indication est l’arthrose isolée d’un compartiment du genou (interne ou externe) avec une intégrité du ligament croisé antérieur et l’absence d’arthrose fémoro patellaire.

Cette prothèse ne permet pas le ‘redressement de la jambe ‘ : elle ne permet que la compensation de l’usure cartilagineuse.

Elle n’est pas indiquée en cas de surcharge pondérale importante ou en cas d’ostéoporose (risque d’impaction de l’implant tibial).

Elle permet une récupération plus rapide de l’autonomie par rapport à une prothèse totale de genou.

 

Nous écrire
Les champs indiqués par un astérisque (*) sont obligatoires
Nous écrire