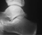
Os Trigone

Cette ossification (non systématique) au niveau de la partie postérieure du talus peut être traumatisée lors des mouvements d’hyper flexion plantaire de la cheville.

Le bilan d’imagerie doit être complet pour valider la lésion (radio, scanner et IRM).

Un test d’infiltration peut parfois être réalisé.

En cas d’échec du traitement médical, sa prise en charge chirurgicale peut être proposée.

Elle peut se faire dans le cadre de la chirurgie ambulatoire sous anesthésie locorégionale.

Vous être installé à plat ventre pendant environ 30 minutes. Il est réalisé 2 mini cicatrice de 5 mm à la partie postérieure de la cheville. La résection de cette ‘ossification’ se fait alors par technique arthroscopique.

La reprise de la marche est immédiate.

 

Nous écrire
Les champs indiqués par un astérisque (*) sont obligatoires
Nous écrire